티스토리 뷰
목차
인류 최고의 발명품 기적의 임플란트
건강보험심사평가원 통계에 따르면 최근 들어 임플란트 환자는 38.9% 증가할 정도로 국내 임플란트 시술은 꾸준히 증가하고 있다. 하지만 임플란트 시술을 마치고 치료에서 해방됐다고 생각하는 사람들에게 찾아오는 질병이 하나 있다. 바로 임플란트 주위염이다. 자칫 고가의 임플란트를 잃게 만들고, 극심한 고통으로까지 이어지는 임플란트 주위염이란 무엇이며 어떻게 관리해야 하는지 알아본다.
인류 최고의 발명품 기적의 임플란트 그러나 임플란트가 무너진다. 원인은 임플란트 주위염



좋지 않은 치아 때문에 임플란트를 했는데 그전보다 더 불편하게 지내는 것은 큰 고통이다.
임플란트는 주변에 염증이 생기면 자신의 자연치아보다는 방어하는 능력이 훨씬 약하고 염증이 더 빨리 진행된다고 합니다.
대한민국은 세계1위 임플란트 시술 국가입니다.

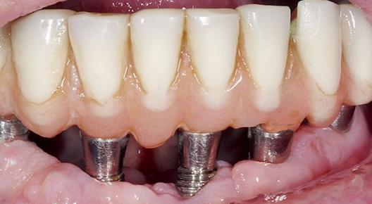
임플란트는 상실된 치아 자리에 티타늄 나사못을 심고 자연치아와 유사한 보철물을 얹어 치아의 기능을 회복시켜 주는 것이다. 임플란트는 자연치아와 달리 치주인대(치아를지지하고치조골을연결)가 없다, 치주인대는 이와 잇몸조직을 강하게 부착시켜 세균 감염을 막는 역할을 한다. 하지만 임플란트는 지주인대가 없으므로 세균감염에 취약해서 임플란트주위염에 걸리기 쉽다고 한다. 또한 신경조직과 혈관이 없어 임플란트주위염이 진행되어 잇몸과 치조골이 상실될 때까지 인지하기 어렵다고 한다. 고가의 임플란트를 했는데 결과적으로 그 임플란트를 없애야 하는 이유가 될 수 있다. 그 염증은 주위 치아에도 감염이 될 수 있다.



임플란트 주위염의 원인은 불량한 구강위생, 흡연, 치주염병력, 음주, 당뇨, 스트레스 등이 있다고 한다. 다른 질병의 영향도 많이 받는다고 한다 예로 골다공증, 고혈압, 인접치아염증 등이 임플란트 주위염에 영향을 끼칠 확률이 높다고 한다.
임플란트를 할 수 없는 경우에는 틀니를 해야 한다. 기존의 틀니는 경제적이지만 고정되지 않아 혀의 움직임에 따라 틀니의 위치가 바뀌고 저작 기능이 약해 음식을 즙을 내듯 눌러서 먹어야 한다고 한다, 그리고 입천장을 덮고 있어 음식맛을 느끼기 어렵다고 한다. 반면 임플란트로 지지대를 삼아 연결장치로 고정시키는 임플란트 틀니는 잘 움직이지 않고 음식을 부수어 먹을 정도로 견고해 기존틀니 보다 식생활이 편리하다고 한다.
임플란트 주위염으로 인해 잇몸뼈가 뚫리면 콧 속의 부비동에 고름이 차게 되어 축농증(부비동염)이 발생하게 된다고 한다.
임플란트 주위염은 금속재질인 임플란트 뿌리를 공격하는 것이 아니라 뿌리가 박혀있는 잇몸뼈인 치조골을 공격한다. 치조골은 한번 손상되면 다시 복원될 수 없으며 한번 빠진 임플란트를 다시 심기 위해소 골이식과 같은 힘겨운 과정을 겪어야 한다고 한다.
임플란트 주위염 의심 증상
잇몸 출혈, 부종, 고름, 구취, 통증 등이 의심증상 들이라고 한다.
임플란트 주위염 발병률은 환자의 경우 20%정도, 비 치아환자의 경우 13%정도 된다고 한다.



임플란트주위염 예방



임플란트는 시술 전보다 시술 후 관리가 더 중요하다고 한다.
치아질병으로 임플란트를 한 경우에는 구강위생 관리에 더 신경을 써야 할 것이다.
꼼꼼한 양치질, 보조기구(치실, 구강세정기등) 사용, 흡연금지, 무엇보다 정기검진을 통해 관리를 해주는 것이 중요하다고 한다.
임플란트의 평균 수명은 구강위생을 철저히 했을 때 최소 8년에서 20년 정도가 된다고 한다.
그만큼 구강위생을 평생 철저히 하는 것이 최고의 예방법이다. 꾸준한 치과 진료도 중요하다고 한다.